Digital X- Ray

Digital x-rays are quickly becoming adopted by a large percentage of the dental industry. A digital x-ray allows the dentist to take an image of the tooth or teeth and put it into an imaging program. Within this imaging program, there are a number of tools that will allow the dentist to take a very close look at the teeth and surrounding structures with amazing accuracy. As a benefit to the patient, the digital x-ray also provides nearly 80% less radiation than a standard x-ray. This is due to the fact that the digital version of the x-ray is much more sensitive to this radiation and has been specifically designed with the patient in mind.

digital_xrays

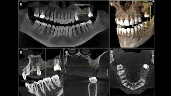
CBCT (Cone Beam Computed Tomography)

The CBCT a specialized medical imaging technique that created detailed 3D images of the oral and maxillofacial areaUnlike traditional 2D x-rays, CBCT provides a comprehensive view of the anatomy, including bone, teeth, nerves, and soft tissues, from multiple angles. This allows for precise diagnosis and treatment planning in various dental procedures. 

CBCT Images                                                      CBCT Machine




Contact Us!

Our Location

Find us on the map

Hours of Operation

Our Regular Schedule

Monday:

8:00 am-5:00 pm

Tuesday:

8:00 am-5:00 pm

Wednesday:

8:00 am-5:00 pm

Thursday:

8:00 am-5:00 pm

Friday:

8:00 am-1:00 pm

Saturday:

Closed

Sunday:

Closed